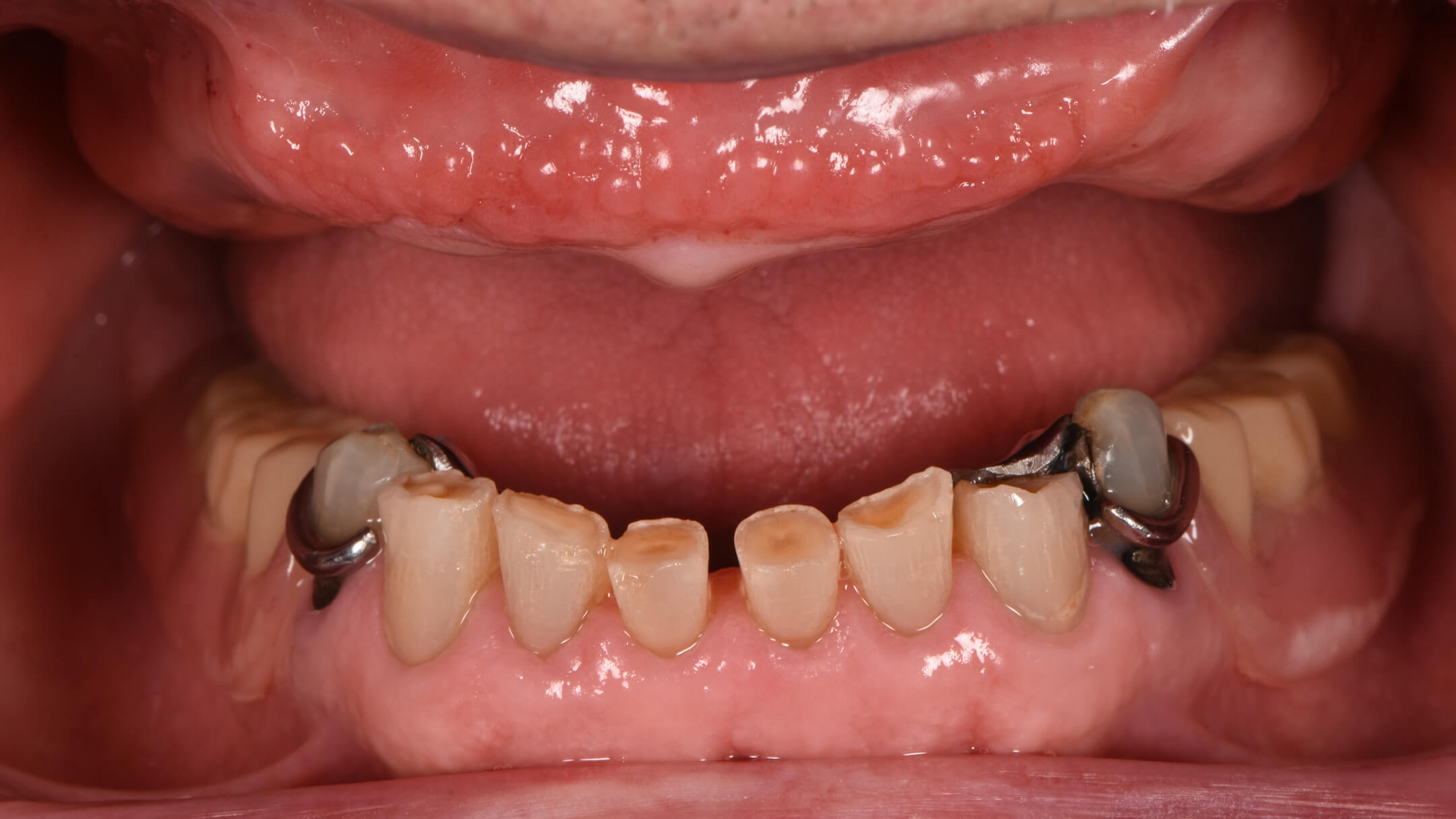
Dental Implants

Before

Before

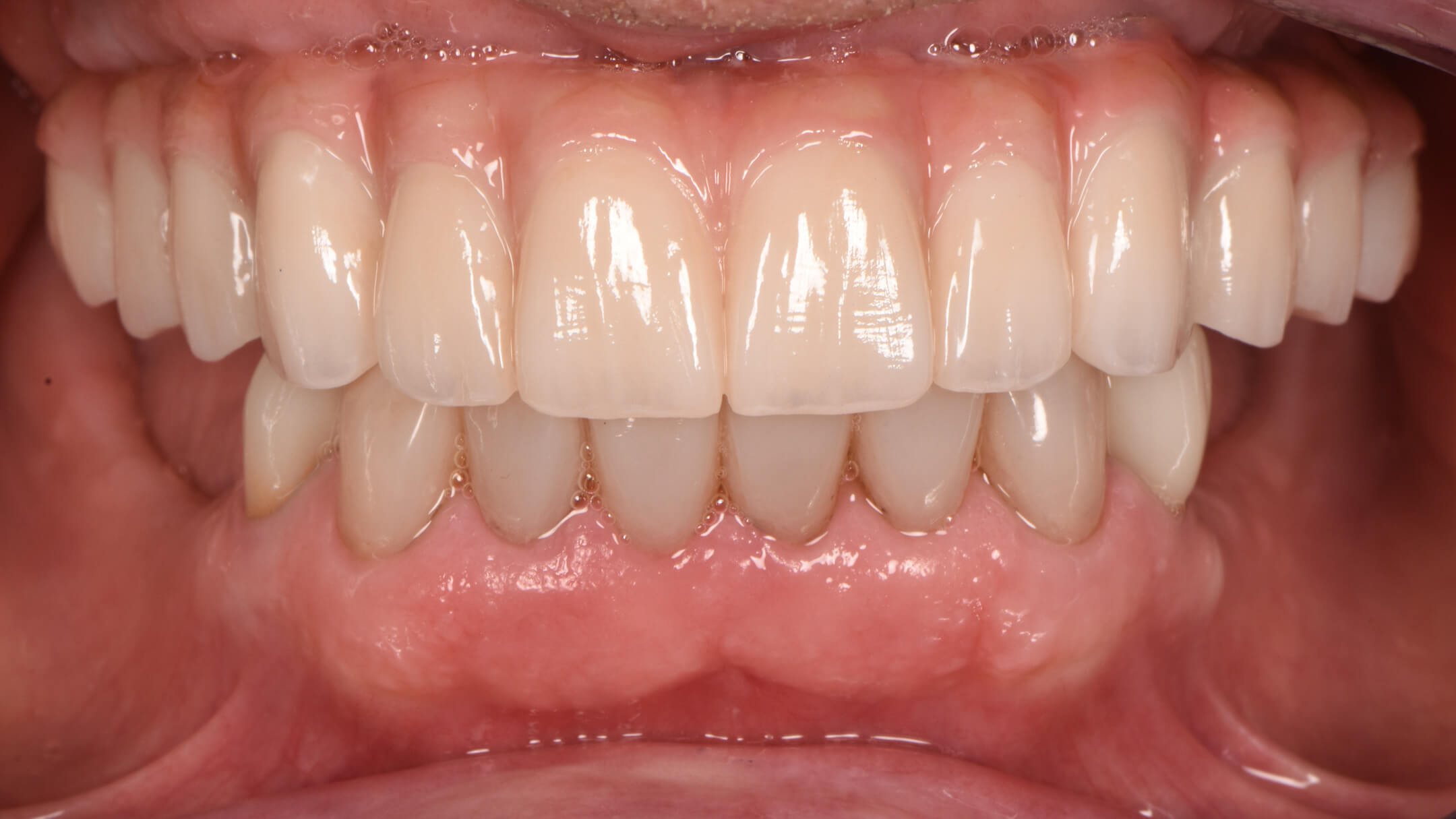
After

After
Dental Implants

Before

After
Dental Implants
This patient had lost a front tooth due to it fracturing beyond repair. A dental implant was placed and restored with a customized porcelain implant crown to match his current teeth.

Before

After
Dental Implants
This long time patient broke his front tooth beyond repair and had an implant placed. We restored with a porcelain implant crown to match the neighboring teeth.

Before

After
Dental Implants


Dental Implants

